Testimonio carga inmediata de implantes dentales
Joaquín vino a la clínica dental en Valencia IDIM a causa del fracaso de unos implantes antiguos.
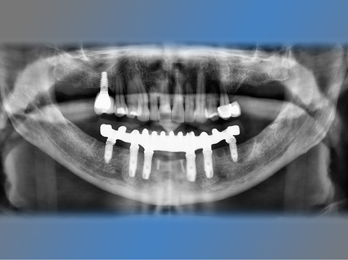
La infección de estos implantes había causado una pérdida de hueso importante en la zona anterior de su mandíbula.
Se optó por colocar 5 nuevos implantes al mismo tiempo que se regeneraba su mandíbula con un injerto óseo. Se utilizaron 4 de estos implantes para ponerle una prótesis fija provisional al cabo de 24 horas (carga inmediata).
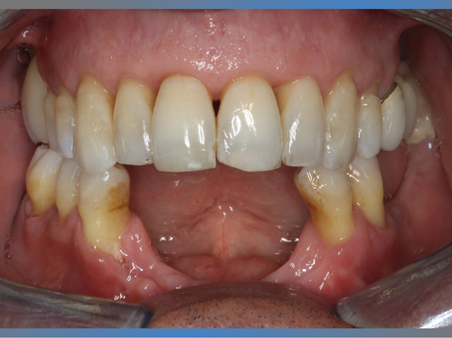
La cirugía se realizó bajo sedación consciente intravenosa por un médico anestesista, y fue muy cómoda para Joaquín, tal y como él nos cuenta. Tres meses después la prótesis provisional se cambió por una prótesis definitiva reforzada y más extensa al estar soportada esta por 6 implantes dentales.




