IMPLANTES CIGOMÁTICOS
La solución definitiva ante la ausencia de hueso o atrofia maxilar
¿Te han dicho que no puedes colocarte implantes dentales por falta de hueso? En el Instituto de Implantología IDIM, dirigido por los doctores Peñarrocha en Valencia, somos especialistas en implantes cigomáticos, una técnica avanzada, segura y eficaz para los casos más complejos de atrofia maxilar severa.
La ausencia o pérdida de hueso en el maxilar superior es muy común en pacientes que han llevado prótesis dentales removibles durante años, lo que limita o impide la colocación de implantes convencionales. Según el grado de atrofia, el tratamiento puede variar, pero cuando la pérdida ósea es extrema, los implantes cigomáticos han ofrecido una solución real para devolver la sonrisa y la capacidad masticatoria evitando los injertos óseos.

¿Qué son los implantes cigomáticos?
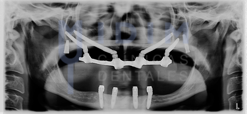
Los implantes cigomáticos son una solución avanzada en implantología dental diseñada para pacientes con una pérdida ósea severa en el maxilar superior. A diferencia de los implantes convencionales, estos implantes son más largos y están hechos de titanio para poder anclarse en el hueso cigomático, también conocido como hueso del pómulo o malar.
Este hueso, ubicado en la parte superior del rostro, ofrece una densidad y estabilidad excepcional, incluso en pacientes que han perdido todos sus dientes desde hace muchos años. Por ello, representa un punto de anclaje ideal para fijar los nuevos dientes sin necesidad de recurrir a injertos óseos.
En muchos casos, los implantes cigomáticos se combinan con 2 a 4 implantes convencionales más cortos colocados en la parte frontal del maxilar, siempre que haya suficiente hueso en esa zona. Y, sobre todos ellos se coloca una prótesis fija, devolviendo así la estética y función maxilar de forma inmediata al paciente.
Incluso en los casos más extremos, con ausencia total de hueso maxilar, es posible realizar el tratamiento con dos implantes cigomáticos por lado. Esto permite fijar una prótesis estable y funcional, ofreciendo hoy en día una solución duradera en situaciones que antes no tenían alternativa.

Rellena el formulario de contacto si necesitas pedir cita en nuestra clínica dental en Valencia:
Beneficios de los implantes cigomáticos
El mayor beneficio de los implantes cigomáticos es que ofrecen una solución segura y eficaz para pacientes con una pérdida severa del hueso maxilar.
No obstante, frente a otros tratamientos, también presentan una serie de ventajas adicionales que conviene destacar:
Procedimiento mínimamente invasivo
Los implantes cigomáticos se colocan en la clínica, generalmente bajo anestesia local o sedación consciente, lo que evita la necesidad de hospitalización o cirugías mayores. Es una intervención precisa y segura, con un enfoque menos agresivo que otros tratamientos tradicionales.
Además, no requiere injertos óseos ni elevaciones del seno maxilar, técnicas más complejas que implican múltiples intervenciones y largos tiempos de espera. Por tanto, se reduce el tiempo total del tratamiento, el riesgo quirúrgico y las molestias durante el postoperatorio.
Mayor rapidez que otros tratamientos
Gracias a la ausencia de injertos y a la técnica quirúrgica avanzada, el tratamiento completo con implantes cigomáticos es mucho más ágil y eficiente que otras alternativas. En muchos casos, en una sola intervención se realiza la colocación de los implantes y se entrega la prótesis provisional.
Esto permite reducir notablemente los tiempos del proceso, evitando las fases largas de cicatrización y los retrasos que conllevan los tratamientos convencionales. Es una opción ideal para quienes desean una solución definitiva en el menor tiempo posible.
Mejora estética y funcional inmediata
Una de las principales ventajas de este tratamiento es que permite colocar una prótesis fija provisional el mismo día de la intervención. Esto significa que el paciente recupera de forma inmediata su capacidad para masticar, hablar y sonreír con confianza.
Además, al reponer el volumen dental y óseo perdido, se restablece la armonía del rostro, evitando el aspecto envejecido que produce la pérdida de estructura maxilar. El resultado es una sonrisa funcional y natural desde el primer momento.
Alta tasa de éxito a largo plazo
El anclaje de los implantes cigomáticos se realiza en el hueso cigomático del pómulo, una estructura que mantiene una densidad ósea excelente incluso en pacientes que han perdido sus dientes hace muchos años. Esto garantiza una fijación firme y duradera de los implantes, sin depender del estado del maxilar superior.
La experiencia clínica y los estudios científicos respaldan esta técnica con altísimas tasas de éxito a largo plazo, incluso en los casos más complejos. Es una solución segura y estable que ha mejorado la calidad de vida de miles de pacientes en todo el mundo.
¿En qué casos se recomiendan los implantes cigomáticos?
Los implantes cigomáticos están especialmente indicados para pacientes que no tienen suficiente hueso en el maxilar superior y, por tanto, no pueden colocarse implantes tradicionales.
Por tanto, algunos de los casos más recomendados para el tratamiento de implantes cigomáticos son:
- Pacientes que han llevado una dentadura postiza superior durante muchos años.
- Personas con reabsorción ósea severa en la zona maxilar.
- Pacientes con enfermedades periodontales avanzadas.
- Fracaso previo de tratamientos con implantes convencionales.
- Rechazo o contraindicación para injertos óseos.
¿Cómo es el tratamiento con implantes cigomáticos?
En el Instituto De IMplantología IDIM, el tratamiento con implantes cigomáticos se realiza de forma segura, precisa y mínimamente invasiva, gracias a una planificación 3D exhaustiva y a la experiencia de nuestro equipo.
Estas son las fases que componen un tratamiento con implantes cigomáticos:
1. Diagnóstico personalizado
Estudio completo del caso mediante tecnología avanzada para evaluar la calidad ósea y planificar con precisión un tratamiento personalizado.
2. Cirugía en clínica, sin necesidad de hospitalización
La colocación de los implantes se realiza en una única intervención con anestesia local y sedación consciente. Bien planificada y realizada es una cirugía que no reviste riesgos y que no conlleva demasiadas molestias en el postoperatorio.
3. Colocación de dientes provisionales
Puesto que el hueso cigomático es de alta calidad, es frecuente poder realizar una carga inmediata de los implantes cigomáticos. Es decir, se coloca al paciente una prótesis provisional fija inmediatamente, de manera que, puede sonreír desde el primer minuto.
4. Prótesis definitiva a medida
Pasados unos meses, se coloca una prótesis fija definitiva, adaptada en forma, color y función. De esta forma, se restablece de forma estable y duradera tanto la funcionalidad como la estética bucal.
¿Por qué elegir IDIM para tus implantes cigomáticos en Valencia?
Ahora que ya conoces que es posible colocar implantes cigomáticos en casos de atrofia maxilar severa, es normal que te surjan dudas sobre qué clínica es mejor para ti. En el Instituto De IMplantología IDIM, sabemos que se trata de una decisión importante y nos enorgullecemos de haber ofrecido soluciones adaptadas a cada paciente a lo largo de nuestra trayectoria en implantología dental.
A continuación, te explicamos los servicios que podemos ofrecerte en IDIM para tu tratamiento de implantes cigomáticos:
Experiencia en casos complejos
Estamos especializados en casos y tratamientos de implantología dental que presentan un mayor grado de complejidad, con técnicas respaldadas por años de experiencia y resultados exitosos.
Equipo
multidisciplinar
Contamos con un equipo formado en diferentes campos, como la cirugía, implantología y regeneración ósea, que trabajan en conjunto para asegurar los mejores resultados de cada tratamiento.
Tecnología de vanguardia
Nuestra técnica y tecnología avanzada nos permiten realizar diagnósticos precisos y tratamientos personalizados, minimizando riesgos y maximizando la eficacia de cada proceso.
Tratamiento personalizado
Como sabemos que cada caso es único, diseñamos un plan de tratamiento a medida, teniendo en cuenta tus necesidades específicas y ofreciendo las soluciones más adecuadas para tu caso.
Resultados comprobados
Contamos con numerosos casos complejos de éxito en pacientes que presentaban una atrofia maxilar severa, y actualmente disfrutan de una sonrisa renovada, estética y funcional.
Preguntas frecuentes sobre implantes cigomáticos
Si todavía te quedan dudas acerca del tratamiento de implantes cigomáticos, a continuación respondemos a algunas de las preguntas más frecuentes que nos realizan nuestros pacientes en consulta:
¿Quiénes son candidatos para los implantes cigomáticos?
Son ideales para pacientes con pérdida ósea significativa en el maxilar superior que no son candidatos para implantes convencionales o injertos óseos.
¿Es doloroso el procedimiento?
El procedimiento se realiza bajo anestesia local y sedación consciente, minimizando el dolor durante la cirugía. Las molestias postoperatorias son manejables con los analgésicos previamente recomendados por el especialista.
¿Cuánto tiempo dura el tratamiento?
La colocación de los implantes y la prótesis provisional puede realizarse en un solo día, pero el proceso completo de integración y colocación de la prótesis definitiva puede llevar varios meses.
¿Cuáles son las ventajas de los implantes cigomáticos?
Permiten evitar injertos óseos, ofrecen una solución estable y duradera, y pueden soportar prótesis fijas, mejorando la función masticatoria y la estética.
¿Los implantes cigomáticos son permanentes?
Los implantes cigomáticos están diseñados para ser una solución permanente para la rehabilitación dental. Con el cuidado adecuado, pueden durar muchos años, incluso décadas. Mantener una buena higiene bucal, asistir a revisiones periódicas y mantener un estilo de vida saludable son factores determinantes en el éxito y longevidad de los implantes.
¿Cuál es el precio de los implantes cigomáticos en Valencia?
El coste de los implantes cigomáticos puede variar significativamente dependiendo de varios factores, como la complejidad del caso, el número de implantes necesarios, y las necesidades específicas del paciente. Desde el Instituto De IMplantología IDIM, elaboramos un presupuesto personalizado para cada paciente tras un diagnóstico preciso.
Testimonios de pacientes con implantes cigomáticos
Sabemos que, escuchar la opinión de personas que se han sometido a este tipo de tratamientos, transmite confianza. Por eso, te mostramos el caso de Amparo Bernardo, una paciente que llegó a la clínica presentando una atrofia en el maxilar superior, lo cual dificultaba notablemente la colocación de implantes dentales. Gracias a los implantes cigomáticos, ahora luce una sonrisa más bonita y ha recuperado su calidad de vida.
Amparo Bernardo se sometió a un tratamiento de implantes dentales. Su caso era complicado porque presentaba el maxilar superior atrófico y esto dificultaba notablemente la colocación de implantes dentales. Ahora luce su sonrisa tranquila.
“Mi caso no era fácil, pero el tratamiento ha ido muy bien. Ahora voy a comer fuera con una tranquilidad que nunca antes había tenido”.
Comienza tu tratamiento de implantes cigomáticos en Valencia
En el Instituto De IMplantología IDIM de los dres. Peñarrocha no solo nos encargamos de cuidar de tu sonrisa, sino que también ofrecemos soluciones efectivas en casos de atrofia maxilar, gracias a nuestra amplia experiencia y dedicación.
Contamos con más de 30 años de especialización en implantología dental, aplicando técnicas avanzadas y tecnología de vanguardia para garantizar los mejores resultados a nuestros pacientes.
Rellena el siguiente formulario y pide cita para tu tratamiento de implantes cigomáticos en Valencia.





