Testimonio implantes dentales y puente anterior
Félix Miquel Sempere acude en 2001 a la clínica dental IDIM tras varios intentos fallidos de colocación de implantes dentales en otra clínica dental.
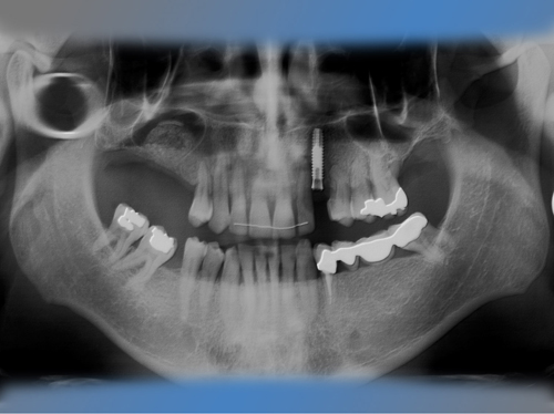
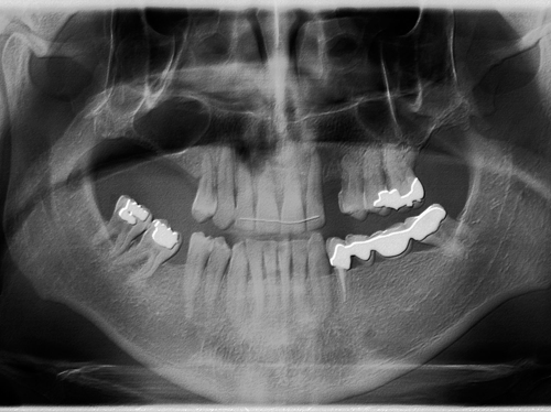
En el maxilar superior tenía poco hueso debido a la presencia del seno maxilar, por lo que se le trato con la técnica de injerto óseo conocida como elevación de seno directa para poder colocarle implantes.
También se le sustituya el puente de la mandíbula que presentaba movilidad debido a caries en los dientes pilares por dos implantes y se le coloca otro implante en un canino superior ausente.
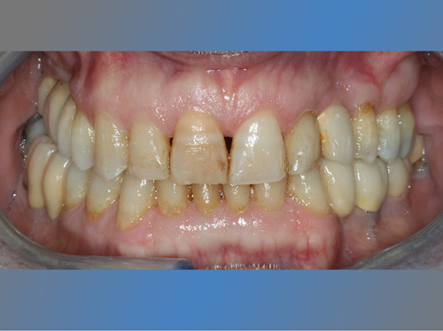
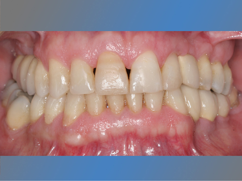
Después de 17 años los implantes siguen estables y sanos. Félix tiene una sonrisa completa y una boca sana, y nos cuenta que va tan bien que no distingue entre sus dientes naturales y los implantes.




