Testimonio Cirugía Periapical o Apicectomía
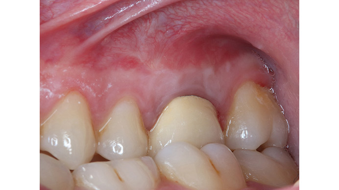
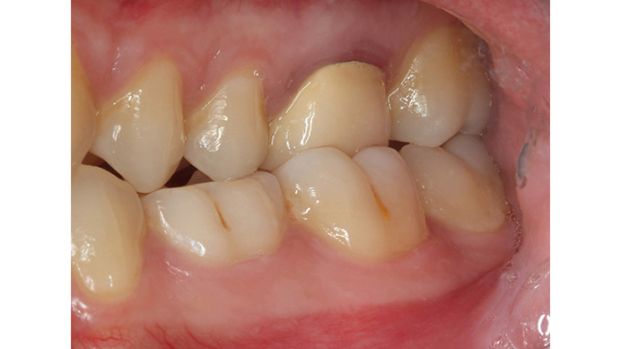
Ian es un paciente que nos cuenta su experiencia tras una intervención de cirugía periapical. Ian vino a la clínica dental IDIM con molestias en una muela superior que en el estudio radiográfico se vio que presentaba infección a causa del fracaso de una endodoncia.
Se decidió realizar una cirugía periapical para eliminar la infección y sellar las raíces con un empaste para evitar que volviera a tener problemas. Gracias a esta efectiva intervención Ian conserva su muela, lo cual es preferible, siempre que se puede, a tener que extraerla y sustituirla con un implante dental.




