Testimonio de Eduardo sobre su apicectomía
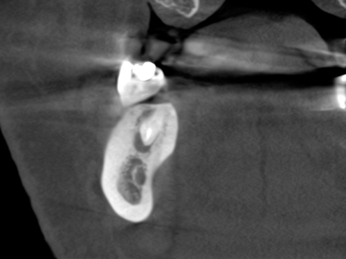
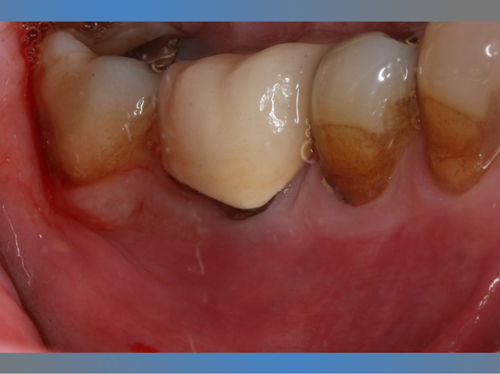
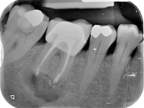
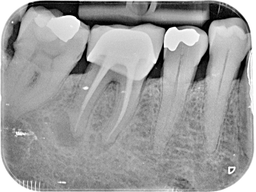
Nuestro paciente Eduardo Vicente Pedrós ha tenido en varias ocasiones infecciones en dientes que estaban desvitalizado. Él nos explica perfectamente en el vídeo que la cirugía periapical (o apicectomía) es un tratamiento que permite salvar la mayoría de los dientes afectados de esta patología.
Es una intervención técnicamente exigente, que requiere formación e instrumentos especializados (microscopio, endoscopio, etc.), pero que correctamente realizada no causa molestias prácticamente y tiene unos resultados exitosos en más del 90% de los casos.
Los implantes son una buena herramienta, pero sin duda lo mejor son los propios dientes naturales. Con la cirugía periapical nuestros pacientes tienen la oportunidad de conservar sus propios dientes afectados de infección en el hueso periapical.




