Si te han dicho que no tienes suficiente hueso para un implante dental, puede que te sientas preocupado o incluso que creas que no hay solución para tu caso. Sin embargo, hoy en día la falta de hueso no es un impedimento para tener una sonrisa renovada y mejorar tu calidad de vida. Los avances en la tecnología y las técnicas de implantología dental, han permitido desarrollar soluciones eficaces para pacientes con poco o falta de hueso en el maxilar.
En IDIM, con más de 35 años de experiencia tratando casos complejos de implantología dental, sabemos lo importante que es recuperar no solo la funcionalidad de tu boca, sino también la confianza en tu sonrisa. Por eso, en este artículo te explicaremos qué significa tener poco hueso para un implante dental, las principales causas que pueden llevar a la pérdida ósea y las técnicas más avanzadas que ofrecemos para la colocación de implantes dentales sin hueso.
¡Sigue leyendo y descubre más sobre este proceso!
Índice
Tener poco hueso para un implante dental: qué significa y cuáles son sus causas
Cuando hablamos de «tener poco hueso» para un implante dental, nos referimos a la cantidad y calidad del hueso disponible en el maxilar de una persona para sostener el implante de manera firme y estable. Pues, para que el implante dental sea exitoso, es fundamental que se logre una integración sólida entre el hueso y el implante, esto sucede durante un proceso conocido como osteointegración.
La osteointegración ocurre cuando el implante dental, generalmente de titanio, se fusiona de forma biológica con el hueso circundante, creando una base estable y segura para el diente artificial. Este proceso requiere tiempo y paciencia, y es la clave para asegurar el éxito, funcionalidad y durabilidad del implante a largo plazo. Por eso, cuando hay una cantidad insuficiente de hueso este proceso puede verse comprometido, lo que hace que sea esencial abordar cualquier deficiencia ósea antes de proceder con el tratamiento de implantología.
A continuación, explicamos algunas de las razones más comunes por las cuales una persona puede no tener suficiente hueso en el maxilar:
- Pérdida prolongada de dientes: es una de las causas más comunes de la pérdida ósea. Cuando un diente falta durante un largo período, el hueso que solía sostenerlo comienza a reabsorberse debido a la falta de estimulación masticatoria. Esta pérdida ósea puede hacer que el área se vuelva demasiado débil o delgada para recibir un implante de forma segura.
- Enfermedades periodontales graves: las infecciones en las encías, como la periodontitis, pueden destruir tanto los tejidos blandos como los huesos que rodean los dientes. Cuando esta condición se agrava, el hueso que rodea los dientes y los implantes se deteriora, dificultando la colocación de nuevos implantes.
- Envejecimiento y disminución de la densidad ósea: con la edad, el cuerpo puede perder densidad ósea, especialmente si no se ha cuidado adecuadamente la salud dental, lo que reduce la cantidad de hueso disponible. Esta reducción ósea natural afecta la capacidad del hueso para fusionarse con el implante dental durante la osteointegración.
- Condiciones médicas y genéticas: algunas personas tienen una genética que les predispone a tener menos densidad ósea en el maxilar. Además, enfermedades como la osteoporosis pueden hacer que el hueso sea más frágil y menos adecuado para soportar un implante dental.
- Traumas o lesiones: los accidentes que afectan el maxilar pueden causar la pérdida de hueso en las áreas afectadas. Por lo que, es posible que la osteointegración se vea afectada si no se cuenta con suficiente hueso en la zona donde se desea colocar el implante.
- Efectos secundarios de tratamientos médicos: tratamientos como la radioterapia en la zona de la cabeza y cuello o el uso prolongado de ciertos medicamentos pueden afectar la salud ósea, lo que dificulta el proceso de osteointegración. En estos casos, los implantes dentales pueden no integrarse de manera efectiva debido a la debilitación del hueso.
Técnicas avanzadas para colocar implantes dentales sin hueso
Como hemos comentado anteriormente, la falta de hueso en el maxilar ya no es una barrera para la colocación de implantes dentales. Gracias a los avances en la implantología dental, hoy en día existen diversas técnicas especializadas que permiten restaurar el volumen óseo necesario para llevar a cabo el tratamiento, incluso en los casos más complejos.
En IDIM, aprovechamos estas innovadoras soluciones para ofrecer a nuestros pacientes opciones seguras y efectivas, asegurando resultados duraderos y una sonrisa renovada.
A continuación, te presentamos las principales técnicas avanzadas que utilizamos en IDIM para colocar implantes dentales en pacientes sin hueso:
Injerto óseo
El injerto óseo es una de las técnicas más tradicionales y eficaces. Consiste en agregar material óseo, ya sea del propio paciente, donado o sintético, a la zona donde falta hueso.
Este material se integra con el hueso natural a través de un proceso llamado osteogénesis. Y, tras un período de cicatrización, el área reconstruida ya es capaz de sostener un implante dental de forma adecuada.


Elevación de seno maxilar
Cuando la pérdida ósea ocurre en la zona posterior del maxilar superior, puede ser necesario realizar una elevación del seno maxilar.
Esta técnica consiste en levantar la membrana del seno maxilar y añadir material óseo para aumentar la cantidad de hueso en esa área. Una vez curado, el hueso regenerado proporciona una base sólida para los implantes dentales.


Implantes cigomáticos
Para los pacientes con una gran pérdida ósea en la parte posterior del maxilar, especialmente cuando la atrofia afecta a la zona posterior superior, los implantes cigomáticos pueden ser la solución.
Estos implantes se colocan en el hueso cigomático (hueso de la mejilla) en lugar de en el maxilar, lo que permite realizar una implantación sin necesidad de injertos óseos en casos extremos de atrofia.




Implantes palatinizados
Los implantes palatinizados son una técnica innovadora en la que los implantes se colocan en la zona palatina (la parte más interna de la boca) para aprovechar el hueso disponible en esa área.
Este método es útil cuando la parte anterior del maxilar no tiene suficiente volumen óseo para sostener el implante. Al mover los implantes hacia el paladar, se maximiza el uso del hueso existente, evitando o reduciendo la necesidad de injertos.


Implantes pterigoideos
Los implantes pterigoideos son una opción ideal para pacientes que no tienen suficiente hueso en la parte posterior del maxilar superior.
En lugar de recurrir a injertos óseos o elevaciones del seno maxilar, estos implantes se anclan en el hueso pterigoideo, una zona más densa ubicada en la base del cráneo que permite una fijación estable en casos donde otras soluciones no son viables.


Implantes subperiósticos
En casos donde la cantidad de hueso disponible es muy limitada y no se pueden realizar injertos óseos, los implantes subperiósticos son una opción a considerar.
Estos implantes no se insertan directamente en el hueso, sino que se colocan sobre él, debajo de la encía. Están diseñados para ajustarse a la anatomía del maxilar del paciente y son ideales para aquellos con severa pérdida ósea.

Implantes angulados
Los implantes angulados son implantes dentales que se colocan con una inclinación específica en lugar de manera vertical. Esta técnica se utiliza cuando el paciente tiene poco hueso disponible en ciertas áreas del maxilar, y permite aprovechar al máximo el hueso remanente sin necesidad de realizar injertos óseos.
Al inclinar los implantes, se logra una mayor estabilidad y se evita zonas con baja densidad ósea o estructuras anatómicas sensibles, como los senos maxilares o los nervios mandibulares.

Implantes “All on four”
Esta técnica implantológica se utiliza para rehabilitar toda una arcada (superior o inferior) con una prótesis fija apoyada sobre cuatro implantes, respectivamente.
Los implantes “All on four” permiten rehabilitar toda la arcada dental utilizando solo 4 implantes estratégicamente posicionados, aprovechando las áreas de hueso disponible, incluso en pacientes con pérdida ósea considerable. En este procedimiento, dos de los implantes posteriores suelen colocarse en ángulo (angulados) para aprovechar mejor el hueso disponible y evitar la necesidad de injertos óseos en pacientes con poco hueso.


¿Por qué elegir IDIM para tu implante dental sin hueso en Valencia?
Ahora que ya conoces las posibilidades que existen para colocar implantes dentales en casos de poco hueso, es normal que te surjan dudas sobre qué clínica es la mejor opción para ti. En IDIM, sabemos que se trata de una decisión importante y nos enorgullecemos de haber ofrecido soluciones adaptadas a cada paciente a lo largo de nuestra trayectoria en implantología dental.
A continuación, te explicamos los servicios que podemos ofrecerte para tu tratamiento de implantes dentales sin hueso:
- Experiencia en casos complejos: nos hemos especializado en tratamientos de implantología dental que presentan un mayor grado de dificultad. Nuestra técnica para resolver casos complejos avala nuestra experiencia y éxito en este tipo de procedimientos.
- Equipo multidisciplinar: contamos con un equipo formado por expertos de diferentes campos, como la cirugía, implantología y regeneración ósea, que trabajan en conjunto para asegurar los mejores resultados en cada tratamiento.
- Tecnología de vanguardia: utilizamos tecnología avanzada como escáneres 3D y planificación digital, lo que nos permite realizar diagnósticos precisos y tratamientos personalizados, minimizando los riesgos y maximizando la eficacia de cada proceso.
- Tratamiento personalizado: sabemos que cada paciente es único, por eso en IDIM diseñamos un plan de tratamiento a medida, teniendo en cuenta tus necesidades específicas y ofreciendo las soluciones más adecuadas para tu caso.
- Resultados comprobados: Contamos con numerosos casos de éxito en pacientes que, como tú, no contaban con suficiente hueso para un implante, y hoy disfrutan de una sonrisa renovada y funcional.
Casos de éxito de implantes dentales con poco hueso en IDIM
En IDIM, contamos con más de 35 años de experiencia tratando casos complejos de implantología dental. A lo largo de nuestra trayectoria hemos logrado recuperar sonrisas de pacientes con condiciones óseas muy complicadas, incluida la falta de hueso suficiente para la colocación de implantes dentales.
Sabemos que la falta de hueso puede ser una preocupación importante, pero gracias a las técnicas avanzadas que utilizamos y a nuestro equipo especializado, hemos logrado devolver a nuestros pacientes no solo una sonrisa estética, sino también una funcionalidad óptima en su boca. Cada paciente es único, y por eso, nos centramos en ofrecer soluciones personalizadas para sus necesidades específicas, teniendo en cuenta la cantidad y calidad del hueso disponible.
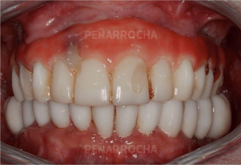
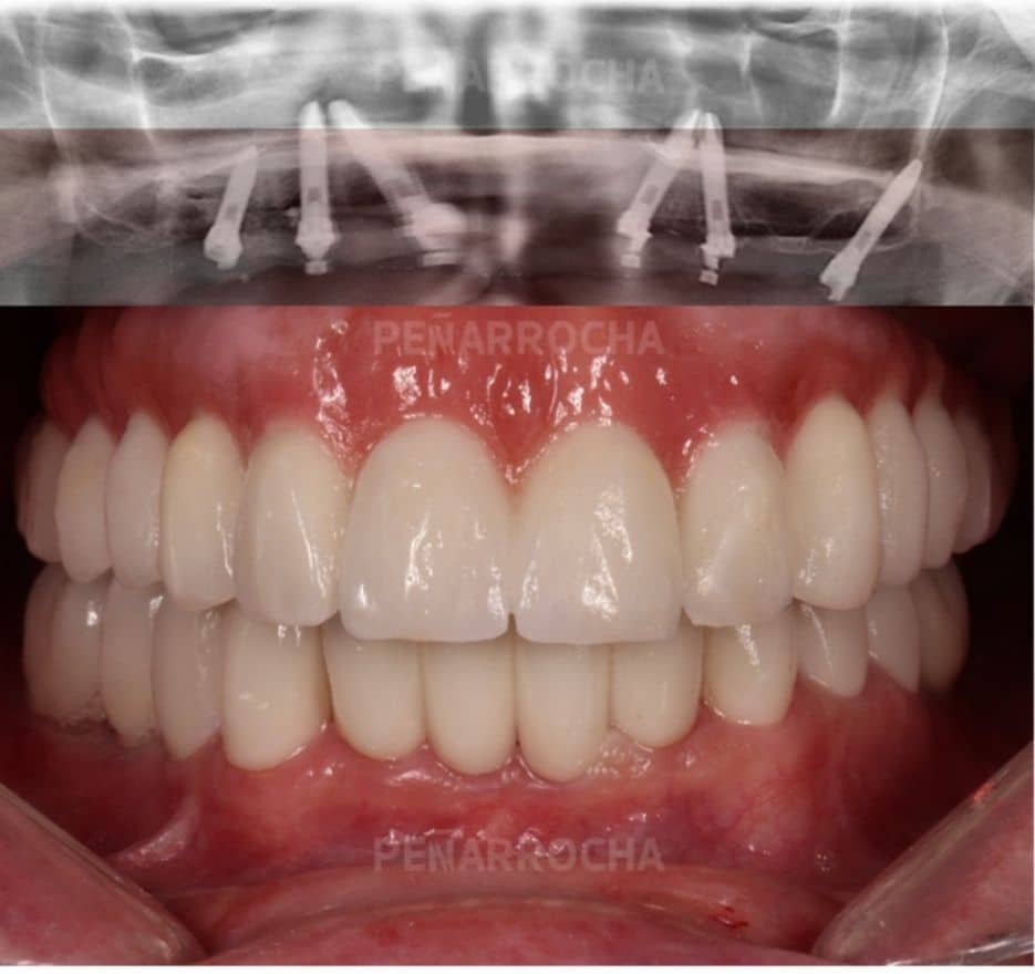
Además, entendemos que antes de someterse a un tratamiento tan importante como los implantes dentales, es importante conocer otros casos de pacientes que hayan tenido experiencias satisfactorias. Por eso, a continuación, te compartimos algunos de nuestros casos de éxito más representativos de implantes dentales en pacientes con poco hueso:
Antes:

Después:

Preguntas frecuentes sobre implantes dentales sin hueso
Si todavía te quedan dudas acerca del tratamiento de implantes dentales con poco hueso, a continuación respondemos a algunas de las preguntas más frecuentes que nos realizan nuestros pacientes en consulta:

Fuentes científicas consultadas:
https://idim.es/libro-grandes-atrofias
Pide cita ahora y recupera tu sonrisa con tus implantes dentales
En nuestra clínica dental en Valencia IDIM, no solo cuidamos de tu sonrisa, también cambiamos vidas gracias a nuestra experiencia dando las mejores soluciones a los casos más difíciles.
Llevamos más de 30 años dedicados a la investigación en el campo de la implantología dental. Y, además, somos pioneros en la aplicación de técnicas y las tecnologías más innovadoras que nos han convertido en referentes del sector.
Si estás interesado en conocer más sobre uno de nuestros tratamientos de implantología dental o solicitar presupuesto, rellena el siguiente formulario y pide cita para tu tratamiento de implantes dentales sin hueso en Valencia.




