¿Te han hecho una endodoncia y notas que algo no va bien? Este tratamiento se realiza con el fin de evitar la pérdida de un diente con caries que está muy dañado. Aunque cada vez se realizan mejores endodoncias y técnicamente están bien hechas, se calcula que el fracaso de una endodoncia oscila entre el 2 y el 16%. En estos casos, es cuando pueden existir complicaciones.
Una endodoncia mal realizada puede provocar molestias persistentes, infecciones en la raíz del diente e incluso poner en riesgo la pieza dental. Si tras una endodoncia continúas sintiendo dolor o incomodidad, es importante no ignorar estos síntomas.
Desde IDIM, como clínica de implantes dentales en Valencia, en este artículo queremos ayudarte a identificar estas señales para tomar las decisiones correctas y proteger tu salud bucodental ante una endodoncia mal hecha. Por eso, te vamos a dar toda la información necesaria para identificar los síntomas relacionados con el fracaso de tu endodoncia, las causas y las soluciones que existen para resolver el problema.
¡Sigue leyendo y descubre más!
Índice
¿Qué es una endodoncia y en qué consiste el tratamiento?
Una endodoncia, también conocida como tratamiento de conductos o “matar el nervio”, es un procedimiento cuyo principal objetivo es conservar el diente natural y evitar realizar una exodoncia. Se realiza en casos donde la pulpa dental, el tejido blando del interior del diente, está inflamada o dañada a causa de caries profundas, traumatismos o fracturas dentales.
El tratamiento consta de varios pasos diseñados para eliminar la pulpa dañada o infectada. Primero, se accede al interior del diente para limpiar y desinfectar los conductos radiculares, eliminando todas las bacterias o tejido muerto. Una vez limpios, se rellena todo el interior de un material biocompatible para sellar los conductos y evitar futuras infecciones. Finalmente, se coloca una restauración para proteger y restaurar la función del diente tratado.
Cuando la endodoncia tiene éxito, el diente puede permanecer en la boca durante muchos años, sin causar dolor ni infecciones. Sin embargo, si el procedimiento fracasa, pueden aparecer complicaciones que afecten tanto a la comodidad del paciente como a la salud del diente y del hueso que rodea al ápice de la raíz.

Síntomas de una endodoncia mal hecha
Una endodoncia mal hecha o una endodoncia bien hecha que fracasa, puede presentar varios síntomas que se manifiesten justo después del tratamiento, o incluso semanas y meses después. Es importante prestar atención a estas señales para poder actuar a tiempo y evitar complicaciones mayores.
Estos son los síntomas más comunes de una endodoncia fracasada:
Dolor persistente
Es normal sentir algo de dolor después de la endodoncia, sobre todo al masticar, pero es leve y en cuestión de días suele desaparecer. Sin embargo, si el dolor es continuo y se intensifica puede ser uno de los signos más claros del fracaso de la endodoncia.
Este dolor puede deberse a una inflamación o infección residual debido a la presencia de bacterias en los conductos laterales accesorios o a un conducto que no fue tratado. Puede aparecer días, semanas e incluso meses después del tratamiento, de manera espontánea o como una molestia punzante al masticar.
Sensibilidad
Si la endodoncia se ha realizado bien, el diente no debería reaccionar al frío ni al calor, ya que el nervio se ha eliminado. Notar sensibilidad ante la ingesta de alimentos fríos o calientes, puede ser señal de fracaso o de que uno o más conductos no han sido tratados.
Además, notar molestias al masticar, podría ser señal de una inflamación periapical o de una mala oclusión por una reconstrucción mal ajustada. Esta sensibilidad puede empeorar al comer alimentos duros.
Inflamación de la encía o zona afectada
La inflamación puede manifestarse como hinchazón en la zona afectada y en la encía que rodea el diente tratado. En ocasiones, puede generar una inflamación visible en el rostro del paciente, dependiendo de donde esté ubicado el diente y de la extensión de la infección.
Si la infección avanza, la inflamación puede aumentar y evolucionar hacia un absceso periapical agudo, con presencia de pus, mayor dolor local y sensación de malestar general. En estos casos, es importante contactar con el especialista de inmediato y seguir sus indicaciones médicas.

Fístulas o supuración de pus
Las fístulas son pequeños bultitos o granitos de color blanquecino que aparecen cerca del diente afectado y actúan como vías de escape del pus que se genera por la infección. Puede que no causen dolor, pero no es buen síntoma, ya que es signo de que hay una infección activa dentro del diente.
Al igual que aparecen, desaparecen de forma intermitente y si no se tratan, puede que el problema se extienda al hueso o a otros tejidos cercanos. Con una exploración clínica, radiografía y tomografía se puede confirmar el diagnóstico.

Cambio de color del diente
Tras una endodoncia, el diente puede que cambie de color y se vuelva más oscuro, adoptando un tono grisáceo o amarillento. Esto sucede porque al perder su nervio y vasos sanguíneos, el diente deja de recibir nutrientes y se vuelve un tejido no vital. Esta necrosis pulpar provoca que el diente se debilite y cambie de aspecto.
El oscurecimiento no solo afecta estéticamente, sino que también puede indicar que el diente necesita un tratamiento interno como una reendodoncia o incluso una cirugía periapical. En algunos casos, será necesario complementar con una restauración estética.
Movilidad dental
Si un diente se mueve tras una endodoncia también es síntoma de fracaso del tratamiento. Puede significar que el soporte óseo que lo rodea se está viendo afectado por una infección que se ha extendido fuera del ápice o por una fractura en la raíz.
En el caso de sentir dolor, además de la movilidad, es necesario valorar si se puede salvar el diente con cirugía apical o si hay que extraerlo y colocar un implante dental. Una evaluación radiográfica ayudará a determinar el alcance del daño y la mejor solución.
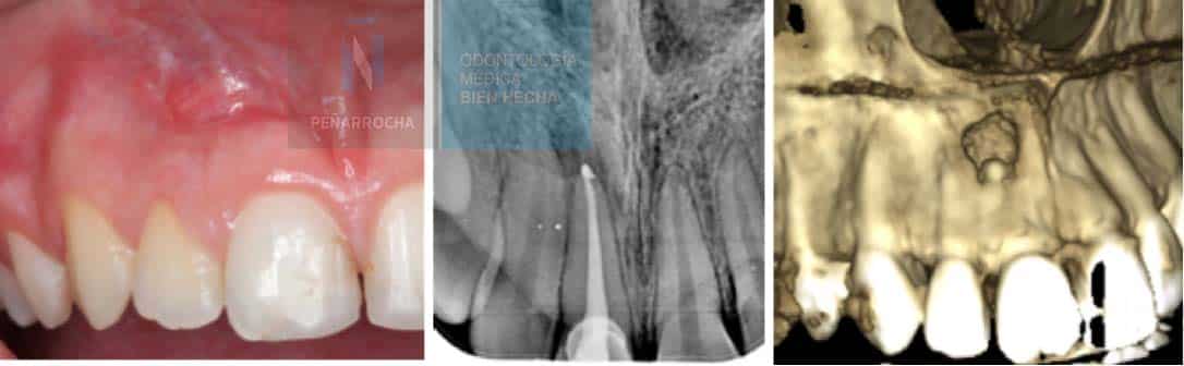
Radiografía de una endodoncia mal hecha
Una de las herramientas más seguras y fiables para detectar una endodoncia fracasada es la radiografía dental. A través de ella, el especialista puede analizar el interior del diente y los conductos radiculares para comprobar si el tratamiento ha fallado.
Estos son algunos signos que pueden observarse en una radiografía e indicar el fracaso de una endodoncia:
- Conductos sin relleno: a través de la radiografía se puede observar si hay algún espacio vacío a lo largo o al final del conducto que se haya quedado sin rellenar y permita la entrada de bacterias.
- Sobreobturación: cuando el material de obturación se extiende más allá de la raíz, puede irritar los tejidos periapicales. En la radiografía, se observa como una prolongación blanca que sobrepasa el extremo de la raíz.
- Manchas oscuras alrededor de la raíz: la aparición de manchas en el hueso que rodea la raíz indica que puede existir una infección o una lesión periapical que destruya el hueso periapical.
- Lesiones periapicales: se identifican como áreas más oscuras o radiotransparentes alrededor del ápice del diente. Indican que existe una infección activa o una inflamación persistente.
- Conductos no tratados: puede que existan conductos adicionales sin tratar, los cuales aparecen como áreas radiotransparentes, ya que no han sido limpiados ni rellenados. Su presencia hace que la infección persista.
- Fracturas radiculares: aunque a veces son difíciles de detectar, pueden verse como líneas finas y oscuras a lo largo de la raíz. También puede observarse una alteración en la forma del hueso que rodea la fractura.


En estas imágenes se observa una lesión radiotransparente alrededor del ápice del diente, con una endodoncia bien hecha en principio, pero fracasada finalmente, y su posterior curación radiográfica tras una cirugía periapical. En todo caso, es importante que un especialista en endodoncia o cirugía bucal evalúe la radiografía para determinar el estado del tratamiento.
Causas de fracaso de una endodoncia
Aunque la endodoncia es un procedimiento habitual y eficaz para salvar dientes infectados y dañados, existen diversos factores que comprometen su éxito a corto o largo plazo, llegando a fracasar aunque esté bien hecha en un principio.
Estas son las principales causas del fracaso de una endodoncia:
Obturación incompleta del conducto
Una de las causas más comunes de una endodoncia fracasada es un sellado incompleto del conducto radicular. Pueden quedar espacios vacíos donde las bacterias persisten y causen nuevas infecciones o directamente conductos adicionales que no se detecten y no se traten, ocasionando así, infecciones recurrentes.
Filtración apical
Si el sellado en el extremo del conducto no es adecuado, permite la entrada de bacterias desde el hueso o la encía hacia el interior del diente. Esta situación puede ocurrir tanto por un sellado insuficiente como por el uso de materiales inadecuados. Si la inflamación no se trata, puede provocar la aparición de una lesión periapical.
Fracturas radiculares
Las fracturas en la raíz del diente, durante o después de la endodoncia, pueden comprometer seriamente el éxito del tratamiento, especialmente si el diente no está protegido adecuadamente con una restauración. Estas fracturas son difíciles de diagnosticar y su pronóstico suele ser desfavorable.
Anatomía compleja del conducto
No todos los conductos son rectos y simples, algunos presentan formas inusuales y curvaturas pronunciadas que pueden ser difíciles de limpiar y sellar completamente con el material de obturación de la cámara pulpar. Cuando esto ocurre, pueden quedar restos de pulpa infectada o bacterias que impiden el éxito del tratamiento.
Restauración final del diente
Después de una endodoncia, el diente debe restaurarse correctamente con una corona para protegerlo. Con el tiempo, este diente puede recibir más presión al masticar, ya que se desgasta menos que los demás y aumenta el riesgo de fractura. Por eso, es importante acudir a revisiones periódicas para controlar su estado.
Posibles consecuencias de una endodoncia mal hecha
Cuando una endodoncia fracasa y no se soluciona a tiempo, pueden aparecer efectos negativos que afectan tanto al diente tratado como a la salud bucal en general.
Estas son las principales consecuencias de una endodoncia mal hecha:
- Dolor persistente en la zona del diente afectado: uno de los síntomas más comunes del fracaso de una endodoncia es el dolor que no desaparece semanas después del tratamiento. Puede ir desde una molestia leve hasta un dolor agudo que limita la masticación o el descanso.
- Aparición de abscesos o fístulas: las infecciones no resueltas en la raíz del diente pueden provocar abscesos dentales (acumulación de pus) o la formación de fístulas. Es decir, pequeños orificios en la encía por donde drena el material purulento, que sirven como vía de escape de la infección.
- Lesión periapical: entre el 2 y el 14% de las endodoncias fracasan provocando inflamación periapical en los tejidos que rodean la raíz del diente. Según la Sociedad Española de Cirugía Bucal entre el 21,7% y el 64,5% de las personas presentan periodontitis periapical crónica.
- Daños en el hueso maxilar o mandíbula: las infecciones periapicales más severas pueden afectar al hueso que rodea la raíz del diente, provocando sinusitis maxilares, infecciones óseas o pérdidas de soporte del diente. Esta situación puede complicar futuros tratamientos restauradores o implantológicos.
- Pérdida del diente: una de las consecuencias más graves de no corregir una endodoncia fracasada a tiempo, es que la infección avance y destruya parte del hueso que sujeta el diente de manera irreparable. Esta pérdida ósea compromete la estabilidad dental provocando la pérdida del diente afectado.
- Problemas estéticos o funcionales: un diente no restaurado correctamente tras la endodoncia puede llegar a fracturarse, cambiar de color o presentar alteraciones estéticas. Además de las consecuencias estéticas, la pérdida de la función masticatoria puede afectar al resto de la boca.
Qué hacer ante una endodoncia fracasada
Ante una endodoncia fracasada, lo más importante es actuar con rapidez para evitar complicaciones mayores como infecciones periapicales o sinusitis maxilares. Por eso, es importante identificar los síntomas a tiempo y consultar de inmediato con un especialista.
En IDIM, ofrecemos soluciones y opciones de tratamiento que pueden ayudarte a recuperar la salud bucodental. Aunque cada caso es único y es necesario un estudio detallado, estos son los principales pasos que tienes que seguir si notas tu endodoncia mal hecha:
1. Evaluación profesional
El primer paso que debes seguir si sospechas que tu endodoncia ha fracasado es pedir cita con un dentista con experiencia en endodoncia o en cirugía bucal para evaluar la situación. Ellos pueden realizar un examen clínico, radiográfico y tomográfico para determinar la causa del fracaso y estudiar el caso en profundidad.
Durante la consulta, el profesional evaluará los síntomas, realizará una radiografía y determinará si el tratamiento anterior fue insuficiente, si hay infección persistente o si se trata de un problema diferente.
2. Tratamiento de reendodoncia
En algunos casos, se puede intentar hacer un retratamiento del conducto radicular para corregir cualquier problema del tratamiento inicial e intentar salvar el diente. Este proceso consiste en retirar todo el material, volver a limpiar y desinfectar el conducto y realizar una nueva endodoncia.
Es un procedimiento más complejo que la endodoncia inicial, ya que pueden quedar restos de material, haber conductos obstruidos o lesiones periapicales. Aun así, se pueden conseguir buenos resultados y conservar el diente durante muchos años más.
3. Cirugía periapical
Si no es posible realizar el retratamiento o no funciona, la cirugía periapical es la única alternativa para evitar extraer el diente. Este procedimiento implica la eliminación de la infección en el extremo de la raíz y el sellado retrógrado del conducto desde el extremo apical mediante; legrado, apicectomía y obturación retrógrada.
Suele ser la solución más eficaz cuando hay una lesión localizada, el diente tiene una restauración que no se puede retirar sin dañarlo o cuando el canal está bloqueado. Aunque no es la opción más común, es una alternativa menos invasiva que la extracción.

4. Extracción dental
En los casos donde resulta imposible salvar el diente, porque no es posible hacer reendodoncia o una cirugía periapical, la solución será extraerlo y colocar un implante dental en su lugar. De esta forma, se evita que el problema siga afectando al resto de la boca.
Un implante es una solución segura y duradera que permite recuperar tanto la función estética como masticatoria del diente perdido. Además, ayuda a conservar el hueso y evitar que se desplacen los dientes adyacentes.
Preguntas frecuentes sobre el fracaso de endodoncia
Si todavía te quedan dudas sobre si padeces de una endodoncia fracasada, a continuación respondemos a algunas de las preguntas más frecuentes que nos realizan nuestros pacientes en consulta:
¿Es normal el dolor después de una endodoncia?
Después de una endodoncia es normal sentir alguna molestia, pero suele ser un dolor leve o moderado que desaparece en unos días cuando el tejido alrededor del diente se recupera del procedimiento. En caso de que el dolor sea más intenso o persistente, contacta con tu dentista para una evaluación inmediata.
¿Cómo es el dolor de una endodoncia fracasada o mal hecha?
Con una endodoncia fracasada puedes llegar a experimentar un dolor persistente que no disminuye con el tiempo. Puede presentarse de manera espontánea o como una molestia punzante al morder. Además, si aparece hinchazón en la encía o una fístula, bultito con salida de pus, suelen ser signos de infección activa.
¿Cómo diagnosticar una endodoncia fracasada o mal hecha?
Diagnosticar una endodoncia fracasada requiere una evaluación detallada por parte de un profesional. El dentista evalúa los síntomas que presenta el paciente y realiza una radiografía y una tomografía para observar el diente y los tejidos de alrededor. De esta forma, se comprueba si hay infección o si el sellado de los conductos no es adecuado.
¿Es normal si me han hecho una endodoncia y tengo mal sabor de boca?
No es lo habitual. El mal sabor de boca puede deberse a la presencia de una infección residual, filtraciones bacterianas o estar relacionado con una obturación defectuosa. Cada caso es único, y es importante que un especialista evalúe tu situación para determinar la causa exacta de este síntoma antes de sacar conclusiones.
¿Cuándo es peligrosa una endodoncia?
La endodoncia es un procedimiento dental común y seguro, pero puede fracasar ante complicaciones como: no eliminar bien la infección, si se fractura el diente o si hay errores como perforaciones. Por eso, es fundamental que la realice un dentista con experiencia y que se revise correctamente después del tratamiento.

Fuentes científicas consultadas:

Pide cita para corregir tu endodoncia mal hecha en Valencia
En el Instituto De IMplantología IDIM de los Dres. Peñarrocha, no solo nos encargamos de cuidar de tu sonrisa, sino que también ofrecemos soluciones efectivas a los casos de fracaso de endodoncia, gracias a nuestra amplia experiencia y dedicación.
Contamos con más de 30 años de experiencia en implantología y tratamientos complejos, con un equipo especializado y la última tecnología para ofrecerte soluciones personalizadas y eficaces.
Si has notado alguno de estos síntomas y sospechas que tu endodoncia puede haber fallado, o simplemente no te quedas tranquilo con el diagnóstico recibido, te animamos a pedir una segunda opinión en nuestra clínica, rellenando el siguiente formulario.




